NA ULTRAZVUKU SU PRIMETILI ČUDNE TAČKICE: Majka zanemela od ŠOKA kada su joj lekari saopštili šta je TO!

Republika.rs

Autor: M.O.

Lifestyle

14.01.2024

16:40

Pratite nas i putem Android ili iOS aplikacija

Android aplikacija ios aplikacija huawei aplikacija

Uredna trudnoća se na sekundu dovela u pitanje.

NA ULTRAZVUKU SU PRIMETILI ČUDNE TAČKICE: Majka zanemela od ŠOKA kada su joj lekari saopštili šta je TO!

Foto: TikTok/printscreen

Džordan Filips, poznata na društvenim mrežama, podelila je sa svojim pratiocima sve detalje trudnoće, uključujući i odlazak na redovne preglede tokom svoje trudnoće.

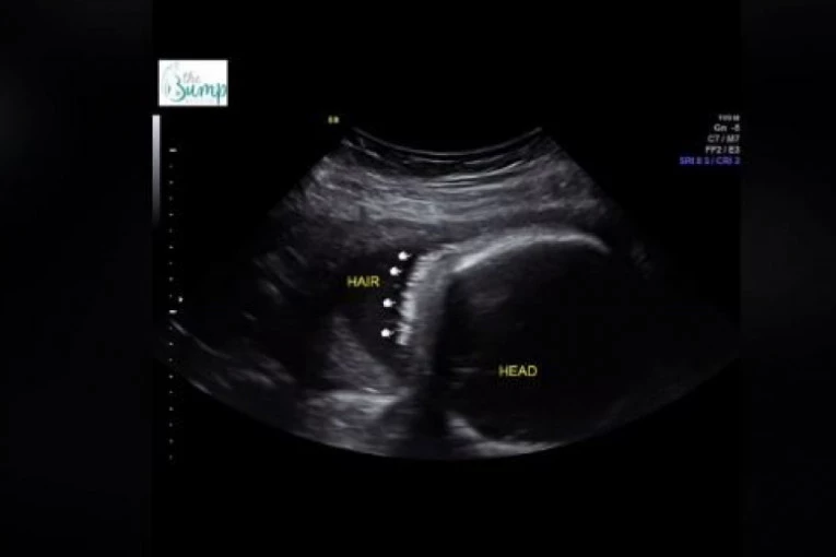
Jedan od tih pregleda bio je zakazan za 26. septembar 2023. godine, kada su budući roditelji imali priliku da vide svoju devojčicu na ultrazvuku. Međutim, ono što ih je posebno iznenadilo bila je činjenica da je njihova ćerkica već tada imala primetnu kosu.

Republika

Foto: TikTok/printscreen

Ova mala devojčica je postala pravi hit na društvenim mrežama

 


Porođaj i oduševljenje

Nakon nekog vremena, stigle su i slike sa porođaja, na kojima se jasno moglo videti da je beba zaista rođena sa izuzetno gustom i lepom kosom. Džordan je ironično komentarisala da je devojčica "rođena sa baš malo kose", što je izazvalo lavinu oduševljenja među njenim pratiocima. Video je postao viralan i brzo je skupio više od tri miliona pregleda, a komentari su se nizali ispod videa, izražavajući šok i divljenje zbog izgleda malene devojčice.

 

 


Reakcije javnosti

Komentari ispod videa bili su izuzetno pozitivni, a ljudi su izražavali svoje oduševljenje i čuđenje zbog količine kose koju je beba imala još dok je bila u majčinom stomaku.

 

 

Mnogi su izrazili svoje šokirani, jer iako nije neobično da se pojedine bebe rode sa gustom kosicom, retko kada se vidi.  

"U kojoj nedelji trudnoće ste primetili kosu na ultrazvuku?" i komentarišući kako su njihova iskustva bila drugačija. Ova neobična pojava privukla je pažnju hiljada ljudi i izazvala lavinu pozitivnih reakcija širom društvenih mreža.


Džordan Filips je uspela da podeli jedinstveno iskustvo trudnoće sa svojim pratiocima i da izazove lavinu oduševljenja širom interneta. Njena priča o malenoj devojčici sa izuzetno gustom kosom postala je hit na društvenim mrežama, ostavljajući ljude širom sveta u divljenju.

Poštovani čitaoci, možete nas pratiti i na platformama: Facebook, Instagram, YouTube, TikTok, Telegram, Vajber. Pridružite nam se i prvi saznajte najnovije i najvažnije informacije.
Naše aplikacije možete skinuti sa Google Play i Apple AppStore.

BONUS VIDEO:

 

Komentari (0)

Loading