Žena 13:05 23.03.2024 ŽENA RODILA BLIZANCE KOJI IMAJU GLAVU VEĆU OD NJE SAME: Kada je pokazala kako ih NOSI, svi se ZAPREPASTILI (VIDEO)
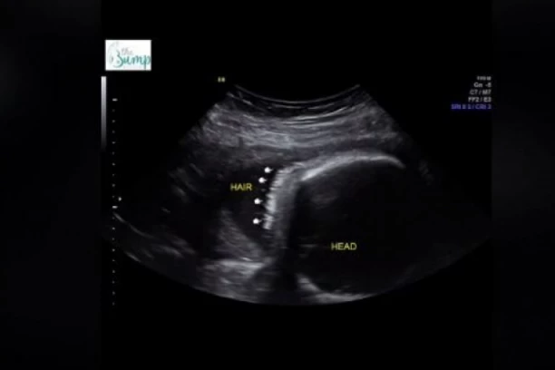
Žena 16:40 14.01.2024 NA ULTRAZVUKU SU PRIMETILI ČUDNE TAČKICE: Majka zanemela od ŠOKA kada su joj lekari saopštili šta je TO!
Politika 11:36 MINISTAR SELAKOVIĆ PRAVO U METU: Kategorički ne priznajem krivicu, nema krivičnog dela - cilj udar na Vučića!
Hronika 11:32 POSTOJI SNIMAK UBISTVA ALEKSANDRE U NIŠU! Motiv izgleda neraščišćen dug odranije, jedna stvar ostaje misterija i dalje!
Estrada 11:30 EVO ZAŠTO OŽENJENI DEČKO MILICE TODOROVIĆ NIKAKO NE SME DA SE RAZVEDE: Razarajuće vesti za pevačicu, ovo će je potpuno slomiti!
Hronika 11:21 ISPLIVALI DETALJI PUCNJAVE U NOVOM PAZARU! Otkriven identitet ranjenog muškarca, napadač i dalje u bekstvu!
Elita 9 11:15 INFORMACIJA IZ SPOLJNOG SVETA ĆE UNIŠTITI ANITU I LUKU: Njegov otac otkrio ŠOK-VESTI o sinu, nacija u neverici šta je rekao UŽIVO u programu!