ZA DORUČAK JE STALNO JEO SLANINU, A POTOM SU KRENULE UŽASNE MIGRENE: Otišao je na magnet, a ono što je pokazao... (FOTO)
Fotografija sa magneta pokazala je strašne promene.
Foto: shutterstock
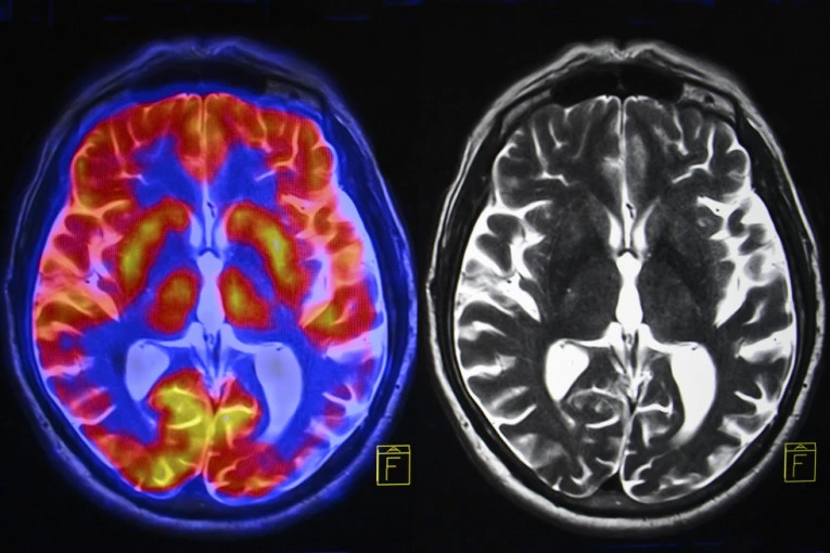
Muškarac iz Orlanda, star 52 godine, obratio se lekaru zbog učestalih migrena koje su ga mučile poslednja četiri meseca. Nakon pregleda, utvrđeno je da je uzrok njegovih problema bio parazit u mozgu, rezultat konzumiranja nedovoljno pečene slanine. Lekari su otkrili da je pacijent imao ciste u oba dela mozga, koje su bile posledica prisustva svinjskog pantljičara. Foto: pexels.com
Pacijent je priznao da preferira mekanu slaninu, što se veruje da je dovelo do konzumiranja nedovoljno pečenog mesa i razvoja bolesti. On je istakao da klasični lekovi više nisu delotvorni i da ga migrene muče skoro svake nedelje. Takođe, naveo je da nije nedavno putovao van zemlje niti je konzumirao sirovu hranu, ali je naglasio da preferira slaninu koja nije hrskava.
Neurocisticerkoza - retka infekcija u SAD-u
CT i MRI snimci otkrili su prisustvo cisti u mozgu, a dijagnoza je bila neurocisticerkoza, parazitska infekcija koja može nastati konzumiranjem zaraženog mesa. Lekari veruju da je parazit ušao u telo pacijenta nakon konzumiranja nedovoljno pečene slanine i putovao iz creva do mozga krvotokom, piše "Miror".

Pacijent je smešten na intenzivnu negu, gde mu je propisana terapija kortikosteroidom dexametazonom četiri puta dnevno kako bi se smanjilo oticanje mozga. Takođe, primao je albendazol i prazikvantel dve nedelje, lekove koji se koriste za lečenje crevnih parazita. Nakon ovog tretmana, ciste su nestale, a migrene su se znatno poboljšale.
Izveštaj o ovom neobičnom slučaju izazvao je pažnju stručne javnosti, posebno zbog činjenice da se ova vrsta infekcije retko javlja u razvijenim zemljama poput SAD-a ili Velike Britanije. Takođe, lekari su istakli da se napadi epilepsije javljaju kod oko 80 odsto pacijenata sa ovom bolešću.
Fotografiju onoga što su pronašli na snimku, možete pogledati OVDE.
Poštovani čitaoci, možete nas pratiti i na platformama:
Facebook,
Instagram,
YouTube,
TikTok,
Telegram,
Vajber.
Pridružite nam se i prvi saznajte najnovije i najvažnije informacije.
Naše aplikacije možete skinuti sa
Google Play i
Apple AppStore.
Komentari (0)