KADA JE OTIŠLA NA ULTRAZVUK ŠOKIRANO JE GLEDALA U OVU TAČKU: Zbunjena mama je na pregledu saznala šta je to, BACA U NEVERICU (VIDEO)
Pogledajte sliku sa ultrazvuka.
Foto: Tiktok
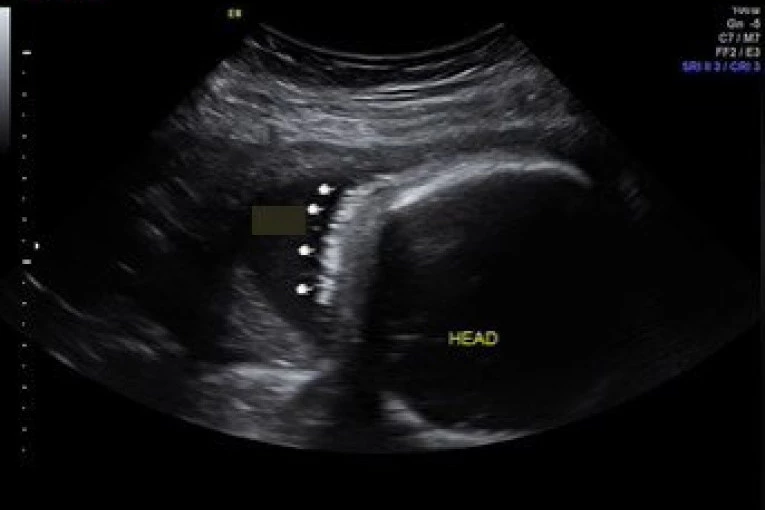
Džordan Filips je mama preslatke devojčice. Sve detalje napretka trudnoće, odlazak na preglede kao i sam porođaj, roditelji su podelili sa ljudima koji ih prate na društvenim mrežama. Oni su prošle godine išli na ultrazvuk kako bi pratili napredak devojčice. Pregled je bio zakazan 26. septembra 2023. godine. Tada su na ultrazvuku videli svoju devojčicu, ali i nešto drugo što im je privuklo pažnju.
Sliku sa ultrazvuka prikazali su i u videu na TikToku. Naime, devojčica je imala kosu koja je jasno bila obeležena strelicama. Nakon ovog videa, slede slike sa porođaja. Tek tada, kosa je zaista bila primetna i mnogi su bili oduševljeni kako je lepa, gusta i crna.
- Ova devojčica je zapravo rođena sa baš malo kose - napisala je ironično majka devojčice u opisu videa na TikToku.
Kako je vreme prolazilo, svi su bili oduševljeni izgledom malene devojčice. Komentari i reakcije nisu izostale ni ovaj put. Video je podeljen više od 3.000 puta, a komentari zaprepašćenih ljudi su se samo nizali ispod.
Foto: Tiktok

Video je postao viralan i u rekordnom roku je skupio više od tri miliona pregleda.
"Bila sam šokirana kada sa videla dlake na ultrazvuku, nisam znala da je to moguće", "Sigurno si umirala od mučnine", "U kojoj nedelji na ultrazvuku si videla da ima kosu", "Kako je ovo moguće?", "Moja beba je imala kosu, a ja nisam imala mučnine", "Preslatka mala devojčica", pisali su joj oduševljeni ljudi ispod videa javno.
Poštovani čitaoci, možete nas pratiti i na platformama:
Facebook,
Instagram,
YouTube,
TikTok,
Telegram,
Vajber.
Pridružite nam se i prvi saznajte najnovije i najvažnije informacije.
Naše aplikacije možete skinuti sa
Google Play i
Apple AppStore.
Komentari (0)