DETE SLUČAJNO PROGUTALO KAŠIKU DUGU 14 CENTIMETARA! Bizaran incident u Rusiji! (UZNEMIRUJUĆI VIDEO)
Pacijent je operisan, a strani predmet je uklonjen, saopštilo je regionalno ministarstvo zdravlja.
Foto: Shutterstock
Dete u Orenburškoj oblasti slučajno je progutalo kašiku od 14 centimetara.
- Pacijent je operisan, a strani predmet je uklonjen - saopštilo je regionalno Ministarstvo zdravstva.
Prema regionalnom Ministarstvu zdravstva, vozilo hitne pomoći prevezlo je dete u dečju bolnicu nakon što je slučajno progutalo kašiku.
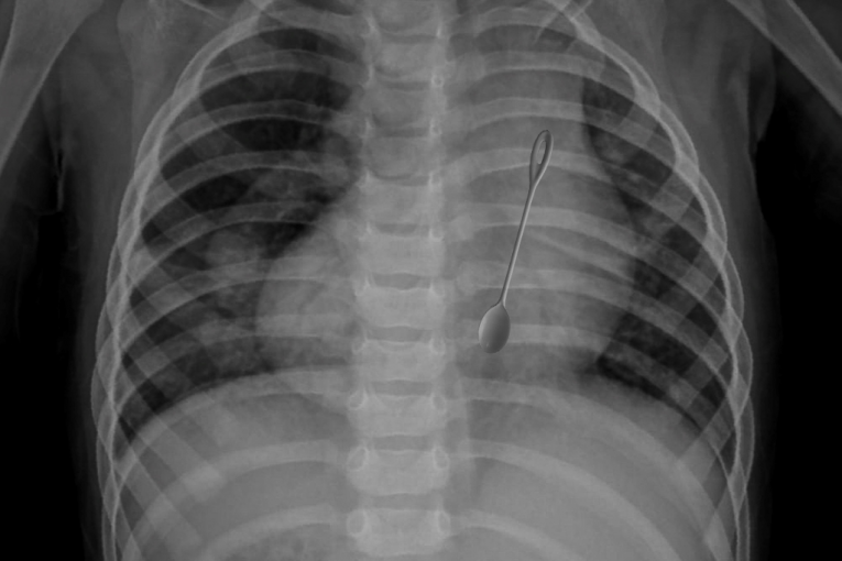
Pacijent je hitno hospitalizovan. Rendgenski snimak abdomena pokazao je da se strano telo zaglavilo u želucu.
Rendgenski snimak koje je objavilo ministarstvo prikazuju dečju kašiku s figuricom novogodišnje jelke na kraju drške.
- Izvršeno je hitno endoskopsko uklanjanje stranog predmeta - metalne kašike dužine 14 centimetara. Postoperativni period je protekao bez ikakvih komplikacija - saopšteno je.

Foto: Shutterstock/D Radiolog/Hee Alr
Sledećeg dana dete je pušteno iz bolnice i otišlo kući.
Inače, ovo nije prvi put da je zabeležen ovakav incident.
Svet je 2019. godine obišla vest da se 18-godišnje devojka u Kini javila lekaru zbog kašike koju je slučajno progutala. Na rendgenskom snimku se jasno videla kašika u telu devojke, koja je, prema pisanjima lokalnih kineskih medija, čekala tri dana pre nego što je otišla u bolnicu.
Kašiku je koristila kako bi izvadila riblju kost koja joj se zaglavila u grlu.
Pacijentkinja poznata kao Lili progutala je kašiku dužine 13 cm. Javila se lekaru posle tri dana, jer kako je rekla, pre toga nije osećala nikakvu bol i nelagodu.
Nakon rendgenskog snimanja i endoskopije, doktori su uspeli da joj izvade kašiku iz tela.
Nemarna žena je progutala kašiku od nerđajućeg čelika pre Kingming festivala 5. aprila pa je pomislila i da je preterano ići u bolnicu za vreme državnog praznika.
Bonus video
Poštovani čitaoci, možete nas pratiti i na platformama:
Facebook,
Instagram,
YouTube,
TikTok,
Telegram,
Vajber.
Pridružite nam se i prvi saznajte najnovije i najvažnije informacije.
Naše aplikacije možete skinuti sa
Google Play i
Apple AppStore.
Komentari (0)