HOSPITALIZOVAN BIVŠI ZADRUGAR: Kost mu PUKLA na dva dela, PRVE FOTKE sa lica mesta!

Zabava

31.08.2025

09:00

Pratite nas i putem Android ili iOS aplikacija

Android aplikacija ios aplikacija huawei aplikacija

Lazar Jeremić se zaigrao.

HOSPITALIZOVAN BIVŠI ZADRUGAR: Kost mu PUKLA na dva dela, PRVE FOTKE sa lica mesta!

Foto: Shutterstock

Zadruga

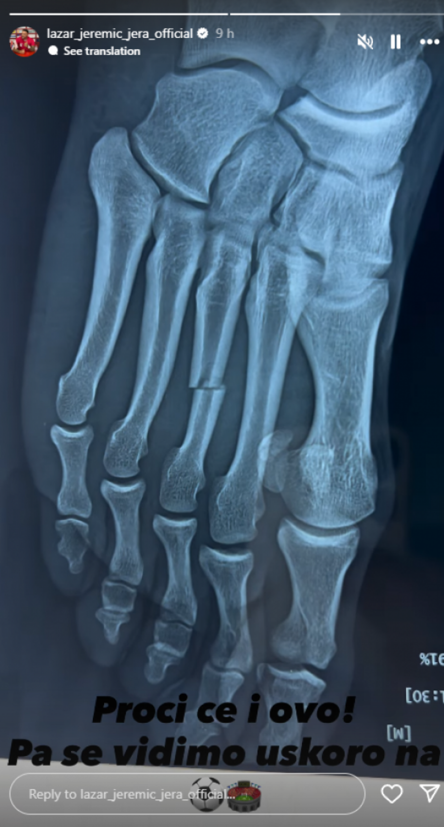
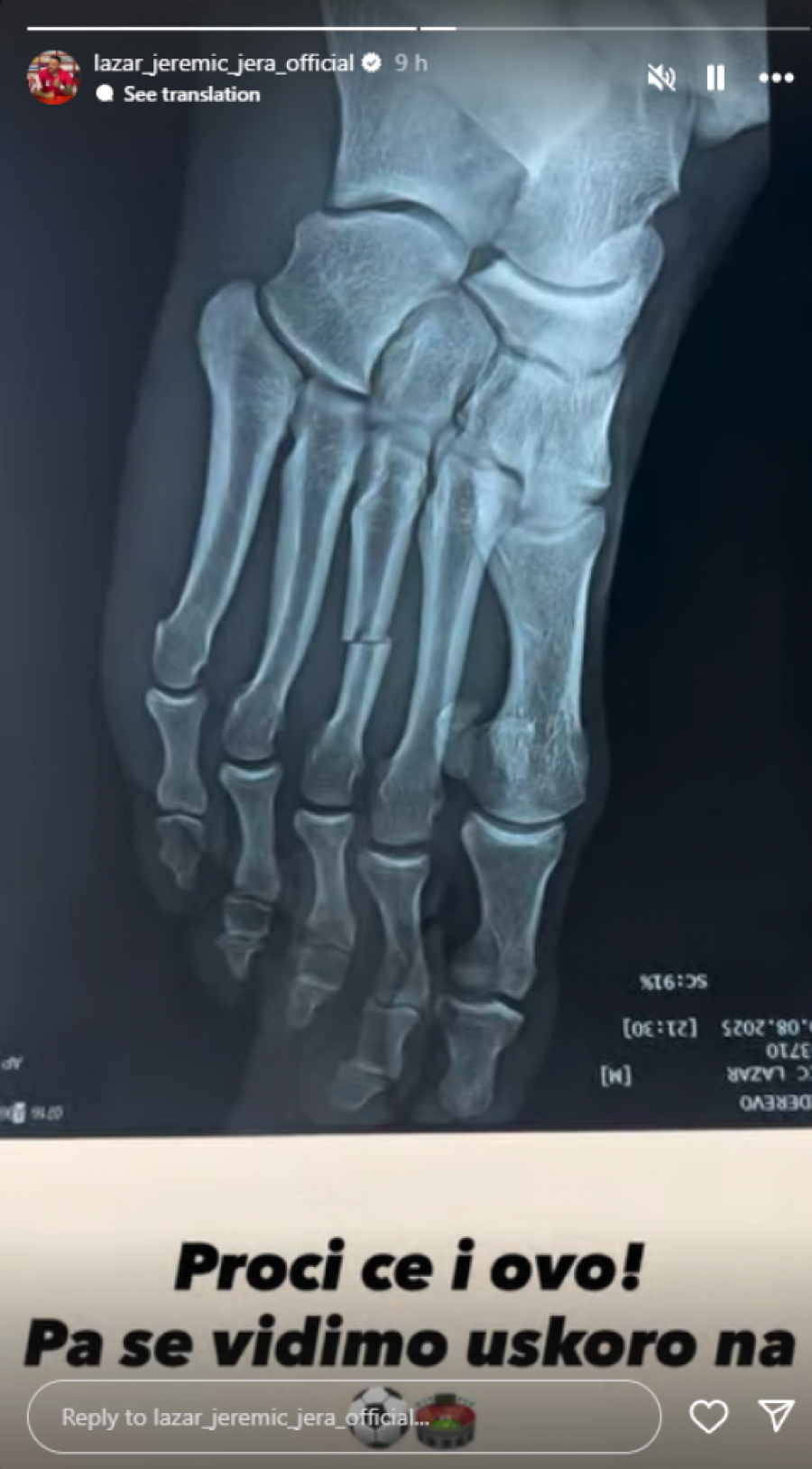
Bivši rijaliti učesnik Lazar Jeremić nedavno je izazvao pažnju svojih pratilaca na Instagramu objavivši snimak iz bolnice. Na snimku se vidi kako leži na bolničkom krevetu sa nogom u gipsu, što je odmah izazvalo brigu među njegovim fanovima. Jeremić je u opisu snimka objasnio da mu je kost pukla na dva dela, što će značiti da će njegov oporavak trajati duže od očekivanog. Ova situacija nije nova za njega, jer je već ranije imao operaciju zbog koje je dugo odsustvovao iz svoje fudbalske karijere.

Zanimljivo je da Lazar nije stranac povredama. Njegova prethodna operacija, koja je rezultirala dugim oporavkom, ukazuje na to da se povrede u sportu često dešavaju, ali i na to koliko su ozbiljne. Fudbal je fizički zahtevna igra, a povrede su nažalost deo svakodnevnice mnogih sportista. Lazarova trenutna situacija naglašava koliko je važno brinuti se o svom zdravlju i rehabilitaciji, kako bi se povratak na teren uspešno ostvario.


Oporavak od povrede može uticati na sve aspekte života sportista, od fizičke spremnosti do mentalnog zdravlja. Lazar Jeremić, pored toga što se suočava sa fizičkim izazovima, takođe mora da se nosi i sa emocionalnim aspektima, jer je povreda mogla da ga odvoji od njegovih sportskih ambicija. Njegovi pratioci i obožavaoci, koji ga prate na društvenim mrežama, sigurno su zabrinuti zbog njegovog zdravlja i oporavka, a mnogi su mu poslali poruke podrške.

Na kraju, važno je naglasiti da podrška prijatelja, porodice i fanova može značajno doprineti oporavku sportista. Lazar je, uprkos izazovima, pokazao hrabrost i odlučnost da se vrati na teren.

BONUS VIDEO:

Poštovani čitaoci, možete nas pratiti i na platformama: Facebook, Instagram, YouTube, TikTok, Telegram, Vajber. Pridružite nam se i prvi saznajte najnovije i najvažnije informacije.
Naše aplikacije možete skinuti sa Google Play i Apple AppStore.

Komentari (0)

Loading